Nathli:Добрый день! На МegaGen после приживления, что потом, опять разрезают?
Интересует так же много резать, как при установке импланта или меньше?
И ставят что? Формирователь десны или еще что?
Разговор о том как космические корабли бороздят просторы космоса.
Все индивидуально от условий и от того за что готовы платить.
Даже при имлантации разрез может быть 5 , а формик может ставится сразу.
а может и глобальненько разрежут, с неба лоскут выкраят, что бы не просто впихнуть имплант, а и мягкие ткани приготовить.
и это не зависит от системы имплантов.
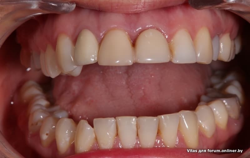
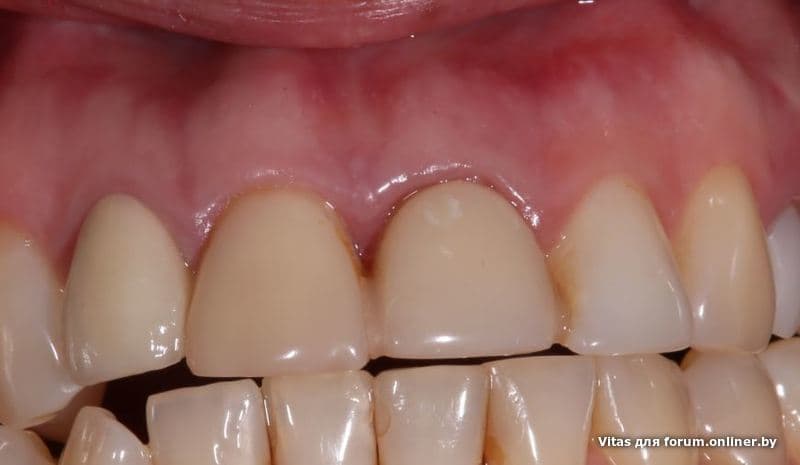
Угадаете где имплант?




