бб
Tatsianka_M, ваша 5,6,7 не связана с глазом. Вам это уже много кто говорил, судя по всему. Поэтому ненадо катить бочки на стоматологов. Я такой вывод сделал из ваших слов.
Пс
очаг хронической инфекции может давать сенсибилизацию на фоне нарушений (подчеркиваю!) иммунной системы.
А если вы всетаки считаете, что все боли из-за зуба, то удалите... Не вижу проблемы вообще
|
офлайн
Неизвестный кот
Senior Member
|
|
|
7659 |
16 лет на сайте Город:
|
Tchebuh, вообще вы выдрали про верхние 5-6-7 из контекста. Там была описана общая ситуация, а не моя. Это проблемные зубы в плане возможных осложнений из-за близкого расположения к пазухе. Во-вторых, если вы все-таки будете внимательней читать, то я писала, что ни один хирург не взялся удалять мой зуб, и это после того, когда я сама предлагала... ссылаются на то, что нет показаний, а мы не можем удалять по желанию, только по показаниям. А то бегают потом пациенты, жалуются что им зуб удалили.
Смешно, правда? Лечить косячно каналы никто не боится, а удалять - начинают осторожничать. Наверное, потому что в первом случае пациент ничего доказать не сможет (что он понимает в сложностях лечения каналов!), а вот удаление - это да, врач же потом не сможет сказать, что зуб сам отвалился. А постоянный зуб, он не молочный, пальцами пациент его не вытянет.
Tatsianka_M:Tchebuh, вообще вы выдрали про верхние 5-6-7 из контекста. Там была описана общая ситуация, а не моя. Это проблемные зубы в плане возможных осложнений из-за близкого расположения к пазухе. Во-вторых, если вы все-таки будете внимательней читать, то я писала, что ни один хирург не взялся удалять мой зуб, и это после того, когда я сама предлагала... ссылаются на то, что нет показаний, а мы не можем удалять по желанию, только по показаниям. А то бегают потом пациенты, жалуются что им зуб удалили.
Смешно, правда? Лечить косячно каналы никто не боится, а удалять - начинают осторожничать. Наверное, потому что в первом случае пациент ничего доказать не сможет (что он понимает в сложностях лечения каналов!), а вот удаление - это да, врач же потом не сможет сказать, что зуб сам отвалился. А постоянный зуб, он не молочный, пальцами пациент его не вытянет.
А без ваших фантазий, есть что по делу?
Напишите расписку, мол претензий не имею, да и удалят
|
офлайн
Неизвестный кот
Senior Member
|
|
|
7659 |
16 лет на сайте Город:
|
Есть моя проблема. Но врачи относятся к ней как к фантазии. Все. К здешним форумным стоматологам претензий не имею. Удаляюсь в мир своих проблем-фантазий.
Tatsianka_M:Thecbuh:Tatsianka_M, да, стоматолог может вывести материал за верхушку корня, пропустить канал.. Но проблемы с глазами и артриты это уже перебор...
И я бы так сильно не кричал что это 100% вина, тк вы не знаете анатомию этих самых злополучных каналов.Может пропустить канал... Нормально так... В порядке вещей. Я в шоке. А зачем пациенту лечение, которое ведет к еще бОльшим проблемам? Надеюсь, что на стомфаке за 5 лет учат не только препарировать зубы, но и общей медицине, чтобы представлять все возможные последствия от неправильного лечения. Но если вдруг не учат, то в свободном доступе полно специализированной медицинской литературы и статей, где описаны эти последствия. И если такого не случалось в вашем личной, не значит, что этого не существует.
И что там такого в каналах, кроме их формы? Наверное, пациент виноват, что у него такие каналы: невидимые, непрямые, и вообще неудобные для стоматолога... да и зубы во рту, это тоже неудобно...Добавлено спустя 26 минут 11 секундVitas, я как пациент хочу прийти, заплатить и быть уверенной в том, что мою проблему решили, а не подложили мину замедленного действия. А если проблема все-таки появилась, я хочу, чтобы ее вовремя диагностировали, я заплатила, и мне проблему устранили, а не вешали лапшу на уши "этого не может быть, потому что быть не может" и "это откуда угодно, но не стоматология", а тем более "отучитесь сначала, чтобы посметь усомниться в действиях и пряморукости врача". Я отучилась на свою профессию. И если, на минуту представьте, какому-то стоматологу завтра рухнет крыша здания на голову, то я как инженер стану в позу и скажу, а что такого, знаете какие сложные рассчетные формулы для такого вида перекрытия, и вообще идите отучитесь на физмате, чтобы предъявлять претензии.
Татьяна, если бы вы были идеалом, то стоматологи бы были не нужны!
Tatsianka_M:Tchebuh, вообще вы выдрали про верхние 5-6-7 из контекста. Там была описана общая ситуация, а не моя. Это проблемные зубы в плане возможных осложнений из-за близкого расположения к пазухе. Во-вторых, если вы все-таки будете внимательней читать, то я писала, что ни один хирург не взялся удалять мой зуб, и это после того, когда я сама предлагала... ссылаются на то, что нет показаний, а мы не можем удалять по желанию, только по показаниям. А то бегают потом пациенты, жалуются что им зуб удалили.
Смешно, правда? Лечить косячно каналы никто не боится, а удалять - начинают осторожничать. Наверное, потому что в первом случае пациент ничего доказать не сможет (что он понимает в сложностях лечения каналов!), а вот удаление - это да, врач же потом не сможет сказать, что зуб сам отвалился. А постоянный зуб, он не молочный, пальцами пациент его не вытянет.
Я за своих пациентов болею, но
Жду 3д и очную консультацию. Бесплатно!
Условие одно все на видео и в общий доступ, разместится в том числе и здесь.
Готовы ли Вы?
Tatsianka_M:Смешно, правда? Лечить косячно каналы никто не боится, а удалять - начинают осторожничать. Наверное, потому что в первом случае пациент ничего доказать не сможет (что он понимает в сложностях лечения каналов!), а вот удаление - это да, врач же потом не сможет сказать, что зуб сам отвалился.
Я не стоматолог, пациент. Но мне кажется, что как раз при наличии зуба можно что-то кому-то доказать (хотя бы 3д снимком), а если зуба нет, то и суда нет.)))
Tatsianka_M:Ну и апофигей разговора, когда Vitas отправил меня учиться в медицинский. То есть, чтобы разговаривать со стоматологом, я должна сама быть стоматологом. Гениально.
Не для того, чтобы разговаривать, а для того чтобы понимать о чем говорит стоматолог. Каждый специалист в своем деле. Надо просто найти своего врача, которому просто будешь доверять. Есть и не очень добросовестные врачи. Но хороших больше. И сколько бы мы не читали интернет и форумов, это не заменит полноценного мед.образования и опыта. И читая интернет, я нахожу у себя все симптомы и все болячки))) Хорошо что есть врачи, которые меня могут в этом разубедить)))
|
офлайн
Неизвестный кот
Senior Member
|
|
|
7659 |
16 лет на сайте Город:
|
Vitas, и что ж вы на видео собрались снимать? Мое лицо с отеком и красным глазом? Звезда интернета! Съемка со спины, разговор, полость рта если надо для проф осмотра - да пожалуйста, доступ на весь он лайнер не согласна, на стоматологов с которыми тут разговаривала - пожалуйста. Мнение всего онлайнера и собирание левых оценщиков - мне не надо. В общем доступе свое мнение можете описать и опубликовать снимки. Устраивать вам шоу пиар-акцию на своей проблеме за бесплатный осмотр мне не надо.
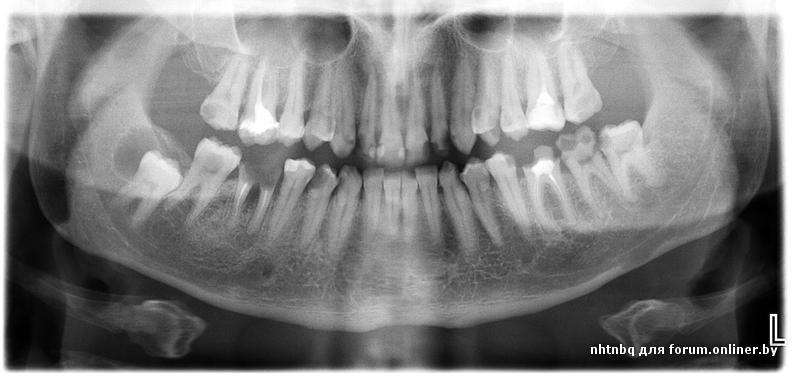
Здравствуйте, уважаемые врачи. Подскажите пожалуйста какие работы предстоит сделать.

nhtnbq:Здравствуйте, уважаемые врачи. Подскажите пожалуйста какие работы предстоит сделать.
Кратенько обозначим проблемы. Еще 26 реэндо

Tatsianka_M:Vitas, и что ж вы на видео собрались снимать? Мое лицо с отеком и красным глазом? Звезда интернета! Съемка со спины, разговор, полость рта если надо для проф осмотра - да пожалуйста, доступ на весь он лайнер не согласна, на стоматологов с которыми тут разговаривала - пожалуйста. Мнение всего онлайнера и собирание левых оценщиков - мне не надо. В общем доступе свое мнение можете описать и опубликовать снимки. Устраивать вам шоу пиар-акцию на своей проблеме за бесплатный осмотр мне не надо.
Делайте 3д снимок, а там будем разбиратся (12 стом поликлиника 200 000, профидент на победителей где-то 500 000)
Желательно там или где есть Планмека (аппарат)
То что 10 лет назад пропустили канал - так 10 лет назад 3д вообще не было, а на кт они не видны. Да и пломбировочный в дистально-щечном канале выведен давно а не сейчас, а отек появился сейчас! значит врят ли из-за выведения, может как вариант, когда мыли гипохлоритом немного попало в синус или в полость гранулемы из-за этого и пошел отек, так же есть 8ка с вопросом, которую бы я просто удалил.
На 3д будет видно и как реагирует слизистая.
А вообще бывают еще и 5е каналы! ![]()
Thecbuh:Кратенько обозначим проблемы. Еще 26 реэндо
Эмм...Я вроде спросил что делать, а не какие у меня проблемы.
nhtnbq:Thecbuh:Кратенько обозначим проблемы. Еще 26 реэндо
Эмм...Я вроде спросил что делать, а не какие у меня проблемы.
Лечить, удалять, протезировать.
Vitas:Tatsianka_M:Вопрос к ilia5555 и другим стоматологам: старый пломбировочный материал за верхушкой корня не удаляли. Надо ли? И через какой промежуток времени контролировать осталась гранулема или рассосалась? Может ли гранулема быть причиной воспаления глаза? на протяжении последнего года постоянно воспаляется левый глаз (увеит), до этого проблем с глазами никогда не было.
1828102, лечили под микроскопом, ценник оооочень неслабый, описанное лечение одного зуба мне обошлось ~400$. Правда у меня 4 канала и дважды в них лекарство закладывали.сие прекрасно лечится и без микросхопа
![]()
за верхушкой удалять пломбировочный сложно - нужно кость пилить, да и не нужно, если он не в пазухе.
А насчет процентов..... 80 и 20, никто точно не знает, факт то что они лечатся - то да, а попадете ли вы в эти 20 процентов - никто точно не скажет. Единственное что можно сказать - если это уже не гранулема, а киста, то лучше не рыпаться с лечением, а идти радикально, потому как если есть стенка кисты - то все лечение как мертвому припарка.
Делаем 3д и смотрим:
Думаю оптимальным будет делать гемисекцию(удаление 1корня), и дальнейшее протезирование.
Отек думаю спадет сразу после удаления. И долго не ждать!
nhtnbq:Thecbuh:Кратенько обозначим проблемы. Еще 26 реэндо
Эмм...Я вроде спросил что делать, а не какие у меня проблемы.
Много лечить, удалять и тд . Вместо удаленных что захотите? Мосты или импланты? На передние пломбы с коронками или виниры(композитные/керамические)?
План лечения зависит еще и от ваших запросов
Thecbuh,
Я ожидал более конкретных ответов.
Примерно, такие-то удалять, протезировать, такие-то лечить, ставить коронки, такие-то лечить.
Понятно что, для детального плана нужен личный осмотр, знание запросов и возможностей, но примерные действия по каждому зубу вы же можете сказать.
Запросы простые: импланты, вставки коронки и "шоб смотрелось" (т.е. эстетика).
Vitas:Лечить, удалять, протезировать.
Зачем тратить время на ответы в стиле КО?
nhtnbq:Thecbuh,
Я ожидал более конкретных ответов.
Примерно, такие-то удалять, протезировать, такие-то лечить, ставить коронки, такие-то лечить.
Понятно что, для детального плана нужен личный осмотр, знание запросов и возможностей, но примерные действия по каждому зубу вы же можете сказать.
Запросы простые: импланты, вставки коронки и "шоб смотрелось" (т.е. эстетика).
Vitas:Лечить, удалять, протезировать.
Зачем тратить время на ответы в стиле КО?
Какой вопрос, такой ответ.
Во вторых. Предварительный план в данной ситуации можно составить только после очного осмотр. Окончательный же план протезирования будет после терапевтической подготовки.
В третьих по данному снимку можно составить 20 планов, а то и более планов лечения в зависимости от материальной обеспеченности.
Ну простите, что вам их не расписали.
nhtnbq, предварительно как-то так
Л-лечить
К- коронка
У- удалять

Vitas:nhtnbq:Thecbuh,
Я ожидал более конкретных ответов.
Примерно, такие-то удалять, протезировать, такие-то лечить, ставить коронки, такие-то лечить.
Понятно что, для детального плана нужен личный осмотр, знание запросов и возможностей, но примерные действия по каждому зубу вы же можете сказать.
Запросы простые: импланты, вставки коронки и "шоб смотрелось" (т.е. эстетика).
Vitas:Лечить, удалять, протезировать.
Зачем тратить время на ответы в стиле КО?
Какой вопрос, такой ответ.
Во вторых. Предварительный план в данной ситуации можно составить только после очного осмотр. Окончательный же план протезирования будет после терапевтической подготовки.
В третьих по данному снимку можно составить 20 планов, а то и более планов лечения в зависимости от материальной обеспеченности.
Ну простите, что вам их не расписали.
+
Нужно как-то подробнее объяснить чего ждете от лечения
|
офлайн
Неизвестный кот
Senior Member
|
|
|
1364 |
18 лет на сайте Город:
|
Татьяна:И если, на минуту представьте, какому-то стоматологу завтра рухнет крыша здания на голову, то я как инженер стану в позу и скажу, а что такого, знаете какие сложные рассчетные формулы для такого вида перекрытия, и вообще идите отучитесь на физмате, чтобы предъявлять претензии.
Я думаю что стоматологи и простые люди точно доказать ничего не смогут. А в медицине сделать формульные подсчеты практически нереально, ибо организм это индивидуальность.Я уже рассказывал историю, как удалил жене идеально запломбированный зуб. И что, Вы думаете я халатно отнесся к вопросу? Просто против природы не попрешь.Над Фукусимой тоже много умов работали и не из Беларуси. И снесло её на фиг, несмотря на расчеты.
И Ваш случай скорее не из разряда среднестатистических. Поэтому нет решения.
Vitas:Делайте 3д снимок, а там будем разбиратся (12 стом поликлиника 200 000, профидент на победителей где-то 500 000)
Желательно там или где есть Планмека (аппарат))
Делали мне конусно-лучевую компьютерную 3D-томографию в 12ой стоматологической поликлинике. С первого раза что- то не получилось. Оператор сказала, что нужно сделать второй раз, что лучевая нагрузка- небольшая. Со второго якобы получилось. Полез в интернет. http://www.3d-lab.ru/services/klkt При КЛКТ лучевая нагрузка составляет 40 — 120 мкЗв (микрозиверт). Для сравнения: естественный природный фон радиации составляет примерно 1000 мкЗв в год, а предельно допустимой для жизнедеятельности человека величиной фона считается 5000 мкЗв в год.
Т.е. у медиков если что-то не убивает, то допустимо. И есть у меня сомнения в качестве полученной томографии. Вполне возможно, что томограф неисправен и периодически глючит.
Tatsianka_M:С кровью, лимфой из источника (зуба) инфекция может попасть на любой орган: сердце, суставы, почки, глаза, и еще куда угодно..
Или онлайнерским стоматологам этого не рассказывали в универе, или они пропускали лекции. Возможен и третий случай- они нагло врут, заявляя, что зубы живут отдельно от всего организма и никак с ним не связаны. В любом случае к таким рвачам, тьфу-ты, врачам лучше не обращаться.