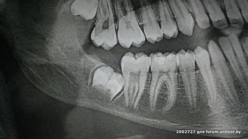
2002727:Мы были у зав на предварительной кон-ции и он одобрил направление в стационар.
Раз вы везде были и даже в стационаре, куда собираетесь госпитализироваться, то к чему все эти вопросы на форуме? каким методом будут удалять, что брать, как посещать и т.д. На консультации с заведующим вы что выясняли? И блат и связи тут совершенно ни при чём.
Насчет уважительных причин, это может быть и другой город (мотаться на проверки-снятия швов неудобно, верю, что не в каждом городе есть члх для сложных случаев, да и такие отделения вообще мало где есть), и сопутствующие заболевания, и капризы детки а-ля не хочу-боюсь. Врачу проще под наркозом, проще под наблюдением. Вам лучше с наркозом - да пожалуйста.
p/s/ 14 лет это уже не ребенок. Это конечно право родителей дуть в попу, многие вообще не делают разницы между дитяткой в 4 года, 14 лет и 40 лет.
p/p/s/ Мне крайне любопытно, по каким причинам Гричанюк не может удалить 8ки в кресле.


