Ответить
  • aleksall Diablo ClubАвтор темы
    офлайн
    aleksall Diablo Club Автор темы

    10837

    17 лет на сайте
    пользователь #141783

    Профиль
    Написать сообщение

    10837
    # 4 октября 2016 19:34

    Не забываем про эту ветку: http://forum.onliner.by/viewtopic.php?t=122373&postdays=&postorder=asc&start=0 , она живее будет

    Добавлено спустя 35 секунд

    Stomat:

    Сдал на первую категорию в белмапо)

    Гц! :beer:

  • Vitas DOCTOR Team
    офлайн
    Vitas DOCTOR Team

    8193

    23 года на сайте
    пользователь #3750

    Профиль
    Написать сообщение

    8193
    # 11 октября 2016 01:30
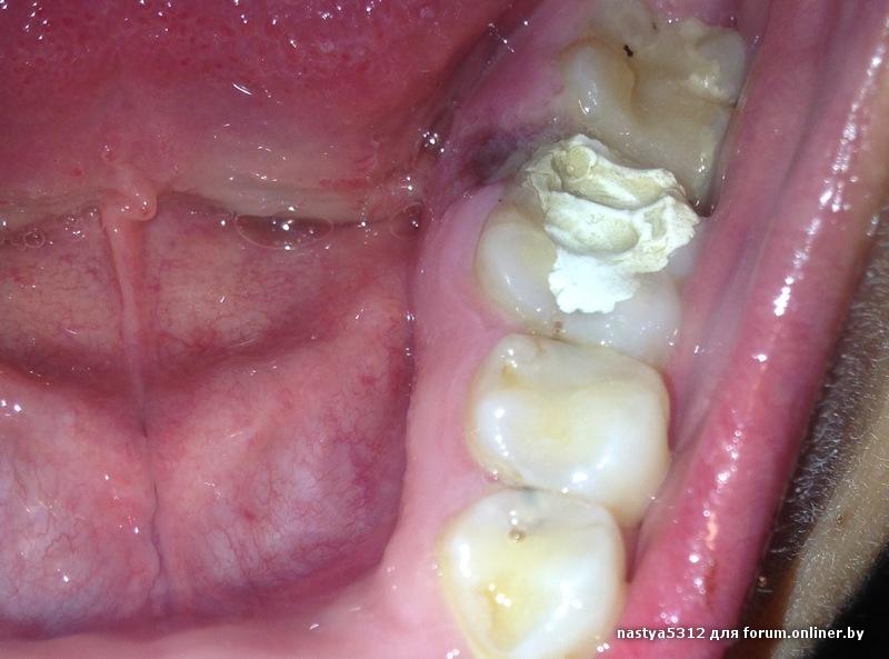
    nastya5312:

    П

    остави

    Поставили временную пломбу, в результате сильный отек дёсен, и боль при нажатии на зуб и десна. Фото спустя 4 дня, и с каждым днём картина становится все хуже.кстати весь рот был в пломбе.
    Это вообще нормально???

    Все зубки в снимке с кариесом! Это нормально? Можно ли было не депульпировать.....? А чем вы думаете пол года ходя с "дуплом"? Кариес наверняка был гораздо раньше чем пол года назад. А потом не говорите что коронку не хотите.

    [censored, п.п. 3.3.4]
  • Nik1975 Member
    офлайн
    Nik1975 Member

    369

    15 лет на сайте
    пользователь #310165

    Профиль
    Написать сообщение

    369
    # 17 октября 2016 07:52

    Здравствуйте!
    Может кто подскажет где можно купить припой для стоматолога ПСр МЦ 37 они ещё со времен СССР,спросите у кладовщиков может валяются безхозные я бы прикупил!
    Спасибо.

  • visorix Neophyte Poster
    офлайн
    visorix Neophyte Poster

    2

    11 лет на сайте
    пользователь #1383777

    Профиль
    Написать сообщение

    2
    # 18 октября 2016 20:49

    Добрый вечер, доктора! Я врач-интерн :) , планирую быть ортопедом! Хочу грамотно заполнять мед. карту, может у кого есть образец по чспп, пспп, несьемным конструкциям?

  • Vitas DOCTOR Team
    офлайн
    Vitas DOCTOR Team

    8193

    23 года на сайте
    пользователь #3750

    Профиль
    Написать сообщение

    8193
    # 19 октября 2016 22:10
    visorix:

    Добрый вечер, доктора! Я врач-интерн :) , планирую быть ортопедом! Хочу грамотно заполнять мед. карту, может у кого есть образец по чспп, пспп, несьемным конструкциям?

    Шапка по пунктам, а вот план лечения у всех будет разный. Нужно для начала сформировать клиническое мышление. Научится составлять планы протезирования исходя из разных клин ситуаций, с возможными вариантами лечения. Главное всегда составлять полный план лечения, а не дыркозаделывание, как пациент желает.

    [censored, п.п. 3.3.4]
  • 1980077 Neophyte Poster
    офлайн
    1980077 Neophyte Poster

    1

    9 лет на сайте
    пользователь #1980077

    Профиль
    Написать сообщение

    1
    # 27 октября 2016 22:47

    Нужна твоя помощь, подскажите что делать уважаемые доктора. Сначала неделю болела лобная часть, потом правая часть головы (висок) и отдавала в глаз, обратились к врачу , сказали идти к стоматологу типо это от зуба.
    Один зуб удалили, другой залечили, через неделю боль появилась с левой стороны, начинает ныть челюсть и боль поднимается выше к виску, болит очень сильно, когда согреюсь и кружки 4 горячего чая выпью боль понемногу стихает.
    В основном болеть начинает во второй половине дня. Вскрыли еще один зуб , положили лекарство через неделю удалили нерв. Боль осталась. (боли пульсирующего и ноющего характера, но при этом если массировать шею боль уменьшается) Сегодня сказали что это не от зубов, а вывих челюстно лицевого нерва, но снимок не делали назначили прогревания и препарат Дона. Мучаюсь уже два месяца, может это и вывих.

  • aleksall Diablo ClubАвтор темы
    офлайн
    aleksall Diablo Club Автор темы

    10837

    17 лет на сайте
    пользователь #141783

    Профиль
    Написать сообщение

    10837
    # 28 октября 2016 07:18

    В интернетах врядли помогут, надо продолжать ходить к специалистам, определять причину, если хирург не справляется с диагностикой, есть другие инстанции- завотделением, диагностический центр, кафедра.

  • Mih-Mih Senior Member
    офлайн
    Mih-Mih Senior Member

    10623

    13 лет на сайте
    пользователь #574089

    Профиль
    Написать сообщение

    10623
    # 28 октября 2016 21:49 Редактировалось Mih-Mih, 1 раз.

    DEL

  • Vitas DOCTOR Team
    офлайн
    Vitas DOCTOR Team

    8193

    23 года на сайте
    пользователь #3750

    Профиль
    Написать сообщение

    8193
    # 2 ноября 2016 20:45
    1980077:

    обратились к врачу , сказали

    Сильно сказано..
    А к какому врачу, что из диагностических мероприятий делали? Чего зуб вырвали, может во рту беда полная....
    По подробней расписывайте, а то по таким скудным данным можно и все что угодно на фантазировать.

    [censored, п.п. 3.3.4]
  • 2023217 Neophyte Poster
    офлайн
    2023217 Neophyte Poster

    5

    9 лет на сайте
    пользователь #2023217

    Профиль
    Написать сообщение

    5
    # 3 ноября 2016 04:41

    Здравствуйте!Появилась проблема,обнаружили кисту на 37 зубе.Зуб пломбирован,нужно перелечивать. Подскажите опытного и ответственного специалиста по этим вопросам,чтобы лечение проводилось всеми доступными методами ,с несколькими закладками лекарств,качественной пломбировкой, до победного конца.

  • Tatiyna Neophyte Poster
    офлайн
    Tatiyna Neophyte Poster

    1

    9 лет на сайте
    пользователь #2067411

    Профиль
    Написать сообщение

    1
    # 5 ноября 2016 12:40

    Здравствуйте, подскажите пожалуйста если в 37 и 47 зубе на дистальных корнях небольшие гранулемы есть возможно ли лечение и ставить коронки

  • sokolovsky_v Neophyte Poster
    офлайн
    sokolovsky_v Neophyte Poster

    4

    11 лет на сайте
    пользователь #1473558

    Профиль
    Написать сообщение

    4
    # 5 ноября 2016 14:21

    Tatiyna, нужно посмотреть снимок, на состояние зуба, если на самом деле изменение периапикальных тканей небольшое, то можно произвести эндодонтическое лечение каналов, и в течении 6-12 мес гранулема может уйти и затем запротезировать.

    Добавлено спустя 3 минуты 55 секунд

    1980077, может вывих верхне-нижнечелюстного сустава а не нерва? КЛКТ сустава вам делали? к каким специалистам обращались?

  • Vitas DOCTOR Team
    офлайн
    Vitas DOCTOR Team

    8193

    23 года на сайте
    пользователь #3750

    Профиль
    Написать сообщение

    8193
    # 9 ноября 2016 19:42
    sokolovsky_v:

    1980077, может вывих верхне-нижнечелюстного сустава а не нерва? КЛКТ сустава вам делали? к каким специалистам обращались?

    Гадать не перегадать)))

    [censored, п.п. 3.3.4]
  • morti Senior Member
    офлайн
    morti Senior Member

    729

    21 год на сайте
    пользователь #21814

    Профиль
    Написать сообщение

    729
    # 11 ноября 2016 10:30

    Подскажите плз, есть ли и как называется приспособление для фиксации открытого рта при лечении. Можно ли его где-то купить и придти с ним к стоматологу?

    Спасибо.

    Позабыты хлопоты, остановлен бег, Вкалывают роботы, а не человек.
  • aleksall Diablo ClubАвтор темы
    офлайн
    aleksall Diablo Club Автор темы

    10837

    17 лет на сайте
    пользователь #141783

    Профиль
    Написать сообщение

    10837
    # 11 ноября 2016 10:55

    morti, на медвыставхах надо смотреть или в стомагазинах поспрашивать

  • Vitas DOCTOR Team
    офлайн
    Vitas DOCTOR Team

    8193

    23 года на сайте
    пользователь #3750

    Профиль
    Написать сообщение

    8193
    # 11 ноября 2016 13:42
    morti:

    Подскажите плз, есть ли и как называется приспособление для фиксации открытого рта при лечении. Можно ли его где-то купить и придти с ним к стоматологу?

    зачем покупать, если он есть у стоматологов..... :-?
    Иони есть разные под разные цели.....

    [censored, п.п. 3.3.4]
  • morti Senior Member
    офлайн
    morti Senior Member

    729

    21 год на сайте
    пользователь #21814

    Профиль
    Написать сообщение

    729
    # 11 ноября 2016 15:11
    Vitas:

    зачем покупать, если он есть у стоматологов.....
    Иони есть разные под разные цели.....

    Видимо не у всех. Опросил знакомых и никому не применяли и не предлагали ни в коммерческих клиниках, ни в государственных. :-?

    Позабыты хлопоты, остановлен бег, Вкалывают роботы, а не человек.
  • aleksall Diablo ClubАвтор темы
    офлайн
    aleksall Diablo Club Автор темы

    10837

    17 лет на сайте
    пользователь #141783

    Профиль
    Написать сообщение

    10837
    # 11 ноября 2016 16:01

    В государственных точно нет:)

  • Vitas DOCTOR Team
    офлайн
    Vitas DOCTOR Team

    8193

    23 года на сайте
    пользователь #3750

    Профиль
    Написать сообщение

    8193
    # 11 ноября 2016 17:22
    morti:

    и не предлагали ни в коммерческих клиниках, ни в государственных. :-?

    потому что узкий диапазон применения. При отбеливании - да, при фиксации брекетов да, для фотографии да иногда для слепков, а в остальном не нужны.

    [censored, п.п. 3.3.4]
  • yuliana.tiger Senior Member
    офлайн
    yuliana.tiger Senior Member

    992

    15 лет на сайте
    пользователь #247457

    Профиль
    Написать сообщение

    992
    # 17 ноября 2016 00:47

    Добрый вечер! Подскажите, пожалуйста, по такому вопросу.. В настоящее время прохожу лечение брекетами, однако не результативно в плане исправления прикуса, в связи с чем есть необходимость провести дополнительную диагностику - определить истинное положение нижней челюсти и наверное зафиксировать это положение. Не могу найти такую услугу в стоматологических клиниках, нашла только статьи про это на сайтах некоторых клиник. Может быть знаете специалистов в Минске (или по Беларуси), которые занимаются такими вопросами?