Гугл сказал. Что значит экстренная медицина, какая у нее связь со стоматологией?
Гугл сказал. Что значит экстренная медицина, какая у нее связь со стоматологией?
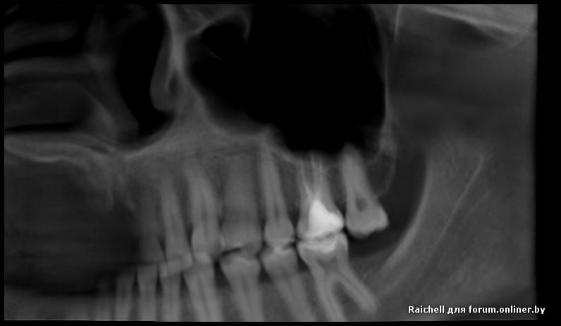
Уважаемые специалисты может подскажите, что можно сделать с зубом 1.5. И станет ли имплант вверху без наращивания
https://drive.google.com/file/d/0B7fYoL1llb1HQnEyM0FmOVFxVEU/view?usp=sharing
inycik,




Во всех депульпированых зубах есть проблемы, плюс в пазухе слева от 25 зуба есть нюанс
16,15 на удаление, потом синус и имплантация
Добрый день. Нужно вырвать 8-ку, чуть разрушена и периодически болит.
Подскажите, пожалуйста, стоит ли обращаться в Профидент на Победителей? Или на Притыцкого лучше?
Можно посоветуете конкретных врачей?
Может ваш участковый стоматолог-хирург хорошо вырывает, поинтересуйтесь.
Во всех депульпированых зубах есть проблемы, плюс в пазухе слева от 25 зуба есть нюанс
16,15 на удаление, потом синус и имплантация Все зубы перелечила. это кт до лечения. Сейчас под временными коронками. Предлагают имплантацию 1.5,2.5 и 4.5 (убрать мост, т.к. 4.6 сильно разрушен). 1.5 удалить и сразу же имплант, но про наращивание не говорили.
А скажите, что в пазухе? Это как-то повлияет на имплантацию
Подскажите пожалуйста, удалили нерв в нижней четверке год назад. Сейчас иногда если постучать по зубу,то неприятно,и если нажать на место под зубом, то тоже неприятно. Подскажите что делать,пожалуйста!! 
Сходить к врачу, послушать, что он скажет, зуб нужно видеть. Похоже на гранулему, возможно придется сделать снимок.
Приветствую. Мне 25 лет, с детства кривые передние зубы (два передних первых один на один залезают; следующие с одной стороны норм, вторая кривая; клыки больше выпирают). Исправить прикус, полечить пару зубов, отбелить или виниры. Куда посоветуете? Район Серебрянки или Минск-арены, есть ли специалисты здесь грамотные?
sova37:Приветствую. Мне 25 лет, с детства кривые передние зубы (два передних первых один на один залезают; следующие с одной стороны норм, вторая кривая; клыки больше выпирают). Исправить прикус, полечить пару зубов, отбелить или виниры. Куда посоветуете? Район Серебрянки или Минск-арены, есть ли специалисты здесь грамотные?
Это вам нужно на другой форум,там проконсультируют http://forum.onliner.by/viewtopic.php?t=163339 вот сюда)
BobiFun:Это вам нужно на другой форум,там проконсультируют http://forum.onliner.by/viewtopic.php?t=163339 вот сюда)
Там тусуются одни пациенты. Конечно сказать где им больше "понравилось" они могут, а вот где уж лучше, то точно не скажут.
sova37:Приветствую. Мне 25 лет, с детства кривые передние зубы (два передних первых один на один залезают; следующие с одной стороны норм, вторая кривая; клыки больше выпирают). Исправить прикус, полечить пару зубов, отбелить или виниры. Куда посоветуете? Район Серебрянки или Минск-арены, есть ли специалисты здесь грамотные?
В ортодонтии для начала нужно определится с объемом кости, это могут быть микро, макро гнатии, микро макро гении, и нормальные развития челюсти, итого 9, далее, размер зубов под каждый размер челюсти, 9*3грубо говоря... Итого 27 различных направлений.... Часть патологий исправляется только с участием хирурга, а в РБ это направление даже на интузиастах мертво. А уж говорить, что у меня тут пару зубов кривых и сделайте мне по этому анамнезу план лечения.... Ну как минимум утопия.
inycik:Во всех депульпированых зубах есть проблемы, плюс в пазухе слева от 25 зуба есть нюанс
16,15 на удаление, потом синус и имплантация
Все зубы перелечила. это кт до лечения. Сейчас под временными коронками. Предлагают имплантацию 1.5,2.5 и 4.5 (убрать мост, т.к. 4.6 сильно разрушен). 1.5 удалить и сразу же имплант, но про наращивание не говорили.
А скажите, что в пазухе? Это как-то повлияет на имплантацию
16 перелечили... Вы выбираете доктора который вам подешевле заткнет дырку в 15? Давайте новый снимок, а там будем что то советовать.
Может кто-нибудь знает, где сейчас работает хирург Булат Александр Валерьевич?
Он ушёл из "Дудко и сыновья", а куда - точно не известно, говорят - где-то в Ждановичах...
Привет всем! Хочу сделать себе протезирование зубов. По этому поиску клиник в Минске http://белмед.рф/services/stomatology/, нашел стоматологию "Роден". Стоит туда идти? Как там делают это протезирование? Или к примеру в ту же "Виву Медику" пойти лучше?
Vitas:Там тусуются одни пациенты. Конечно сказать где им больше "понравилось" они могут, а вот где уж лучше, то точно не скажут.
Никто не скажет.


Ноет зуб 2.5 мес. после пломбировки каналов по поводу периодонтита. Пломбировка первая. В расшифровке кт написано, что 2 канала не совсем до апекса, а ответвление канала заполненено рыхло. Небный отлично. Щечные плотно, но не до конца. Может зуб ныть от этого? И вообще реально пройти их лучше или ждать пока станет легче само по себе? Боль не острая, скорее жжение после нагрузки, неприятно нажимать на боковую стенку зуба со стороны щеки. Если есть что-то типа печенья, то болеть (жжение и ноющая боль словно свежая ранка болит - но ранки нет) будет долго и упорно.
Смущает что положительной динамики нет. Если не нагружать то ноет не каждый день, если есть более нормальную пищу то к вечеру ноет. Реагирует на погоду, на сильном ветре или морозе начинает болеть.
Но остро он никогда после стадии пульпита не болел, болел так же жжение и как ранка, языком неприятно до него дотрагиваться. Только до вскрытия зуба еще и при вертикальном надавливании болел, сейчас особо нет, скорее реагирует на горизонтальную нагрузку.
Иногда зуб может день-два вообще не беспокоить, а потом 2 дня болеть... Это и смущает и лезть в него не хочется, тк это оттянет другие нужные процедуры с зубами, но и недолеченным его оставлять не хочется если есть основания дня повторного эндо. Таблетки от неврологии не помогают, пробовала пить, так что вариант с невралгией не очень вероятен. Нос не закладывает (ттт пока что), пишут что зуб прилежит к пазухе и незначительно прилегает, но кортикальная пластинка сохранена. Я так понимаю это значит что между корнем и пазухой все таки есть кость или в местах где корень ее нет?
незначительно высступает в просвет пазухи, а не прилегает - ошиблась.





Просто не хочется потом не дай бог возвращаться к этому зубу но с осложнениями. Тк зуб очень важен. Имплант под семерку особо не рассматриается, тк не позволяет высота зубов, то что там и не было никогда скмерки и хз что там с той верхней семеркой будет со временем, по этому шестерка эта для прикуса ключевая. В перспективе ставить вклвдку.по этому резонно ее осознанно оставлять такой под вкладкой или есть шанс пройти чтоб совсем без вопросов по каналам.
И такой вопрос к докторам, не зависимо от того будет повторное эндо или нет. Насколько вообще важно наличие при лечении каналов микроскопа кофедрама? Это работа под микроскопом в Л.с. Все врачи кто видел снимок после пломбировки сказали что зуб запломбирован супер, лучше ни один из них не сделает. Обращалась к ним снова тк боль не проходила хотя врач говорила 'такого просто не может быть искать чтото другое и отправила к неврологу. То есть такого результата без микроскопа достичь сложно или можно так и даже лучше просто от доктора зависит а не от оснощения?
Длина двух каналов по моему 15. Но могу ошибаться. Просто запомилось потому что два канала были равной длины.
Четвертого канала нет ни в одной шестерке по данным кт так что скорее всего их вообще нет от природы. Врач искал на всякий случай но не нашел тоже.
Извините, что много букв. ![]()
|
офлайн
Неизвестный кот
Senior Member
|
|
|
7659 |
16 лет на сайте Город:
|
Raichell, достаю свои карты таро и начинаю гадать....
То, что зуб беспокоит - это не предвещает ничего хорошего, значит определенные проблемы есть, какие именно - хз.
По уму, к идеалу можно стремиться, но тут проблема найти врача, который сделает пломбировку лучше, чем она есть сейчас. Могут сделать как лучше, так и хуже. Плюс это дополнительное вмешательство, на которое зуб может отреагировать как угодно. И врач оставит принятие решения за вами и все риски только ваши. Гарантий не будет.
А вставить вкладку и коронку на зуб, который уже беспокоит, имхо, это лишняя нагрузка, от которой зубу будет еще тяжелее. В сказки про неврологические проблемы, причиной которых не является зуб, советую не верить.
То есть такого результата без микроскопа достичь сложно или можно так и даже лучше просто от доктора зависит а не от оснощения?
Зависит от везения. От стечения обстоятельств. От фазы луны. Если бы была четкая зависимость, которую знали сами доктора, то они выдавали бы гарантию на эндо.
Raichell:Все врачи кто видел снимок после пломбировки сказали что зуб запломбирован супер, лучше ни один из них не сделает. Обращалась к ним снова тк боль не проходила хотя врач говорила 'такого просто не может быть искать чтото другое и отправила к неврологу.
по-моему у них в меде есть спец.курс по заучиванию успокаивающих мантр для попыток зомбирования пациентов.
А можно узнать фио врача, чтобы знать к кому не идти?
Tatsianka_M, как раз каналы запломбированы хорошо, так что ваши шуточки неуместны
|
офлайн
Неизвестный кот
Senior Member
|
|
|
7659 |
16 лет на сайте Город:
|
Thecbuh:Tatsianka_M, как раз каналы запломбированы хорошо, так что ваши шуточки неуместны
Да какие уж шуточки. Я серьезна как никогда.
Когда пациент возвращается с жалобами, это значит, что его действительно что-то беспокоит, причина обязательна обнаружится и логическое объяснение найдётся. Из всего того, что написала Raichell, комично выглядит только излишняя самоуверенность врача и отрицание жалоб пациента.
зуб запломбирован супер
такого просто не может быть
сколько в лодэ зуб полечить несложный стоит? есть ли в районе гикало еще какая стоматология неплохая?