Ответить
  • Vitas DOCTOR Team
    офлайн
    Vitas DOCTOR Team

    8215

    23 года на сайте
    пользователь #3750

    Профиль
    Написать сообщение

    8215
    # 25 октября 2016 22:28
    2023217:

    .Много пишут положительного и рекомендуют,так почему еще этот метод не стал массовым в решении данной проблемы?

    Потому что эффективность такая же как и при нормальной антисептической обработке и латеральной конденсации, а стоит лазер 80000$ по этому и ценник в раз 5 выше должен быть.

    [censored, п.п. 3.3.4]
  • Неизвестный кот Neophyte Poster
    офлайн
    Неизвестный кот Neophyte Poster

    0


    пользователь #104601

    Профиль

    0
    # 26 октября 2016 12:03
    kkk1984:

    так а как это сделано? чем? это коронки?

    Виниры, ламинаты. Как не назовите.Пресс керамика .

    Добавлено спустя 4 минуты 54 секунды

    Tatsianka_M:

    Лазер для лечения каналов в Минске есть. Если верить рекламе, то лазером выжигается гранулема и положительный результат стремится чуть ли не к 100%. Только стоимость лечения каналов там даже без лазера в три раза выше, чем в тех "авторитетных недешевых клиниках", которые вы посетили. А стоимость с лазером боюсь даже представить.

    Богатые люди должны куда то вкладывать деньги. Пускай рентабельность со временем составит 5-10%. Но это рентабельность. И 1млн долларов превратится в 1млн100тыс, благодаря грамотному маркетингу и необразованности ,как специалистов ,так и обывателей. И так далее. Кому дано, тот понимает. А кто-то помогает заработать 100тыс богатому дяде. В простоте надежность, и это невозможно оспорить.

  • Тумакова-Вика Neophyte Poster
    офлайн
    Тумакова-Вика Neophyte Poster

    27

    9 лет на сайте
    пользователь #1922235

    Профиль
    Написать сообщение

    27
    # 26 октября 2016 19:30

    лечила на Красной три зуба, хорошее обслуживание, думаю еще вернусь туда, хочу отбелить еще

    Виктория Тумакова
  • z-star Junior Member
    офлайн
    z-star Junior Member

    88

    17 лет на сайте
    пользователь #135044

    Профиль
    Написать сообщение

    88
    # 26 октября 2016 20:45

    Посоветуйте пожалуйста хорошего стоматолога-хирурга для удаления молочных зубов. Девочке 9 лет, панически боится стоматологов. Можно в лс)

  • Vitas DOCTOR Team
    офлайн
    Vitas DOCTOR Team

    8215

    23 года на сайте
    пользователь #3750

    Профиль
    Написать сообщение

    8215
    # 26 октября 2016 22:24
    z-star:

    Посоветуйте пожалуйста хорошего стоматолога-хирурга для удаления молочных зубов. Девочке 9 лет, панически боится стоматологов. Можно в лс)

    Молочные удалять не сложно.

    [censored, п.п. 3.3.4]
  • z-star Junior Member
    офлайн
    z-star Junior Member

    88

    17 лет на сайте
    пользователь #135044

    Профиль
    Написать сообщение

    88
    # 27 октября 2016 08:52
    Vitas:

    z-star:

    Посоветуйте пожалуйста хорошего стоматолога-хирурга для удаления молочных зубов. Девочке 9 лет, панически боится стоматологов. Можно в лс)

    Молочные удалять не сложно.

    Дело не в сложности, а чтобы ребенок в кресло сел и рот открыл

  • Vitas DOCTOR Team
    офлайн
    Vitas DOCTOR Team

    8215

    23 года на сайте
    пользователь #3750

    Профиль
    Написать сообщение

    8215
    # 27 октября 2016 09:43
    z-star:

    Дело не в сложности, а чтобы ребенок в кресло сел и рот открыл

    Подход врача и сам ребенок - если избалован маминой лаской, то сложнее всего.

    [censored, п.п. 3.3.4]
  • салли Member
    офлайн
    салли Member

    283

    15 лет на сайте
    пользователь #274893

    Профиль
    Написать сообщение

    283
    # 27 октября 2016 21:51

    Дд, нужен совет стоматолога хирурга. По понарамному снимку сказали удалять левый верхний коренной зуб, растет в щеку, еще не вылез, но уже есть неприятный запах. В данный момент кормлю ребенка грудью- можно ли вырывать? Или подождать, вырвать прсле грудного вскармливания. Ведь будет анестезия, может потребуются лекарства может быть после вырывания для обработки раны , обезболивание. Или это еще вреднее, если не вырывать. Спасибо большое.

  • Vitas DOCTOR Team
    офлайн
    Vitas DOCTOR Team

    8215

    23 года на сайте
    пользователь #3750

    Профиль
    Написать сообщение

    8215
    # 27 октября 2016 23:13
    салли:

    Дд, нужен совет стоматолога хирурга. По понарамному снимку сказали удалять левый верхний коренной зуб, растет в щеку, еще не вылез, но уже есть неприятный запах. В данный момент кормлю ребенка грудью- можно ли вырывать? Или подождать, вырвать прсле грудного вскармливания. Ведь будет анестезия, может потребуются лекарства может быть после вырывания для обработки раны , обезболивание. Или это еще вреднее, если не вырывать. Спасибо большое.

    Удаляйте, анестезия не страшно. Если что сутки не покормить и сцедите для перестраховки. Это лучше, чем присутствующий очаг инфекции, который в любую минуту может дать обострение, а там уже без антибиотиков точно не обойдешься.

    [censored, п.п. 3.3.4]
  • Cathy Member
    офлайн
    Cathy Member

    118

    15 лет на сайте
    пользователь #360621

    Профиль
    Написать сообщение

    118
    # 28 октября 2016 23:07

    Здравствуйте! Есть проблема с верхней правой семеркой. Года 4 назад на него была поставлена ооочень большая пломба,практически на весь зуб.При всем при этом, не помню по какой причине, не был удален нерв и незапломбированы каналы. С недавнего времени начал беспокоить свищ на эти зубом.САм зуб болел и шатался только единожды, после прокола свища больше боли не было в течение последних 5 месяцев,но десна надувается эпизодически. В тот же самый момент сделала панорамный снимок 3Д, сказали лечить!
    Вот сейчас взялась за дело. К своему врачу не пошла, т.к.у нее нету технической возможности открыть 3Д снимок.
    Решила обратиться в Skydent. Врач оценил ситуацию как несильное хроническое воспаление.Единственное не совсем могла внятно сказать, сможет ли в конечном итоге поставить пломбу, больше склонялась к коронке.
    Дабы выслушать еще одно авторитетное мнение.Обратилась к авторитетному врачу в Profident. Там мне сказали,что идет воспаление костной ткани и надо будет удалять. И отправили за консультацией к хирургу.
    КАк можно так по-разному видеть один и тот же снимок не пойму? Чья правда пойди разберись)))
    Зуб не беспокоит, только десна надута и свищ.

    Заранее спасибо

  • Неизвестный кот Neophyte Poster
    офлайн
    Неизвестный кот Neophyte Poster

    0


    пользователь #104601

    Профиль

    0
    # 29 октября 2016 09:49 Редактировалось Неизвестный кот, 1 раз.
    Cathy:

    КАк можно так по-разному видеть один и тот же снимок не пойму? Чья правда пойди разберись)))

    Это называется отсутствие объективных критериев оценки. Недоработка наших кафедр, ибо уже не знают как их раздувать для своих детей. А работать для людей некому. Да и ответственность какая. Четкий, конкретный критерий на основании которого все доктора будут принимать решения. Никто не хочет ответственности.
    Но учитывая симптоматику, больше за удаление симптомов.
    Есть штатовский подход- апикальный периодонтит- удаление+имплантация+гарантия. . Хотите лечить- ответственность 100% на пациенте, гарантия 0% и стоимость дороже имплантации.
    И я на 1000% за последний подход.

  • Vitas DOCTOR Team
    офлайн
    Vitas DOCTOR Team

    8215

    23 года на сайте
    пользователь #3750

    Профиль
    Написать сообщение

    8215
    # 29 октября 2016 11:38
    Cathy:

    Здравствуйте! Есть проблема с верхней правой семеркой. Года 4 назад на него была поставлена ооочень большая пломба,практически на весь зуб.При всем при этом, не помню по какой причине, не был удален нерв и незапломбированы каналы. С недавнего времени начал беспокоить свищ на эти зубом.САм зуб болел и шатался только единожды, после прокола свища больше боли не было в течение последних 5 месяцев,но десна надувается эпизодически. В тот же самый момент сделала панорамный снимок 3Д, сказали лечить!
    Вот сейчас взялась за дело. К своему врачу не пошла, т.к.у нее нету технической возможности открыть 3Д снимок.
    Решила обратиться в Skydent. Врач оценил ситуацию как несильное хроническое воспаление.Единственное не совсем могла внятно сказать, сможет ли в конечном итоге поставить пломбу, больше склонялась к коронке.
    Дабы выслушать еще одно авторитетное мнение.Обратилась к авторитетному врачу в Profident. Там мне сказали,что идет воспаление костной ткани и надо будет удалять. И отправили за консультацией к хирургу.
    КАк можно так по-разному видеть один и тот же снимок не пойму? Чья правда пойди разберись)))
    Зуб не беспокоит, только десна надута и свищ.

    Заранее спасибо

    удалять или не удалть - зависит от врача который возьмется лечить.
    Как сказал Илья - показания к удалению есть, Когда в штатах эндо лечение сотит дороже импланта - И что немаловажно! БЕЗ гарантии, то думаю выбор в сторону импланта был бы очевиден, но мы в рб, и тут эндо стоит дешевле импланта.
    проще говоря - выберите себе врача и работайте с ним.
    На счет коронки - пломба почти на весь зуб...... Только коронку или керамическую вкладку. Пломбы стираются и не держат прикус!

    [censored, п.п. 3.3.4]
  • Неизвестный кот Senior Member
    офлайн
    Неизвестный кот Senior Member

    7659

    16 лет на сайте
    пользователь #180426

    Профиль

    7659
    # 29 октября 2016 15:35

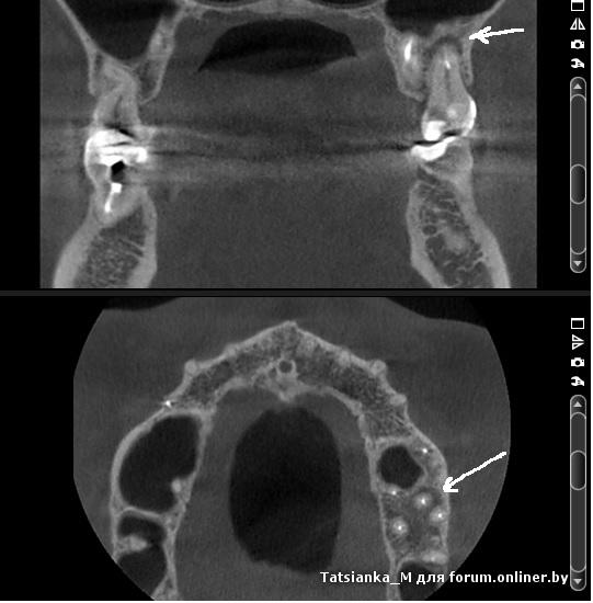
    Новый врач и новое мнение по 27 зубу ретроградный периодонтит
    Может быть такое? Белыми стрелками указаны зоны, которые вызывают подозрения у врачей.
    Болит зуб хоть ты тресни!

    Пока не лезли, болело непонятно где... залезли (сказали, нерв был нормальный), пошел отек на щеку, болело и на пломбировке каналов гуттаперчей (на снимке), болит и сейчас на кальции, причем на втором месяце "лечения кальцием" боль сильнее.
    Стоит пальцем надавить на боковую стенку зуба, как возникает боль, потом начинает ныть... Если попробовать обхватить двумя пальцами зуб и покачать, то кажется что болит вся лунка и боль уходит кверху, и ощущение что зуб более подвижен, чем другие.

    Или лечим не так, или зуб уже просто "не лечится"?

    Ниже снимки с КТ ДО того, как начали лечение
    (красная стрелка - гранулема на МЩК 26-го зуба, которую успешно полечили)

  • Неизвестный кот Neophyte Poster
    офлайн
    Неизвестный кот Neophyte Poster

    0


    пользователь #104601

    Профиль

    0
    # 29 октября 2016 15:53
    Tatsianka_M:

    Новый врач и новое мнение по 27 зубу ретроградный периодонтит

    Чем больше вы будете заниматься диагностикой, тем дольше продлятся Ваши проблемы. Просто доверьтесь врачу без лишних расспросов и допросов. Позвольте врачу, желательно который не знает Вас и Вашей истории, принять самостоятельное решение. Тактика она придумана сто лет назад. И никакой супер- пупер новый метод Вам не нужен.
    на мой взгляд достаточно прицельного снимка и хорошей ревизии каналов. Если нет положительной динамики месяц- два, то удалять и не мучить себя и других.

  • Неизвестный кот Senior Member
    офлайн
    Неизвестный кот Senior Member

    7659

    16 лет на сайте
    пользователь #180426

    Профиль

    7659
    # 29 октября 2016 16:40 Редактировалось Неизвестный кот, 1 раз.

    ilia5555, думаете мне очень хочется ходить бесконечными кругами по врачам и разбираться? Нет. По снимкам к пломбировке 27 ни у одного стоматолога не было претензий. Но мне-то снимок по важности не первоочередной! Мне болит!
    Но все доктора типа добрые и хотят сохранить зуб. Найти врача, который возьмется удалить - проблема! В реале мне и восьмой зуб никто не брался удалять (ни в гос ни в частных), понаписали мне только кучу бумажек. Спасибо Vitas-у, который в реале не болтал и не писал, а просто взял и удалил. Какое облегчение, что исчезла боль, от которой ныло половина челюсти.
    Вот! Сейчас я подожду Виталия!
    Vitas, если я решусь, а с такими стремными результатами терапии к этому всё идет, возьметесь за удаление 27?

    И возвращусь еще к высказыванию

    Позвольте врачу, желательно который не знает Вас и Вашей истории, принять самостоятельное решение.

    Пробовала! И не раз! Но почему-то все говорят что на снимках все прилично выглядит. А потом начинают мне рассказывать про других пациентов, которые с кистами по 2 см ходят и не жалуются ни на что, и поэтому уж мне бояться нечего!
    Ну рада я за этих других пациентов, а мне-то толку с этого?

  • Неизвестный кот Neophyte Poster
    офлайн
    Неизвестный кот Neophyte Poster

    0


    пользователь #104601

    Профиль

    0
    # 29 октября 2016 16:56
    Tatsianka_M:

    а с такими стремными результатами

    Наверное к кому то не тому вы обращались. Остановитесь на Виталии и не бегайте по форумам.

  • Vitas DOCTOR Team
    офлайн
    Vitas DOCTOR Team

    8215

    23 года на сайте
    пользователь #3750

    Профиль
    Написать сообщение

    8215
    # 29 октября 2016 17:46
    Tatsianka_M:

    Вот! Сейчас я подожду Виталия!
    Vitas, если я решусь, а с такими стремными результатами терапии к этому всё идет, возьметесь за удаление 27?
    И возвращусь еще к высказыванию

    Я бы лучше сам сделал ревизию. И кальций с йодоформом заложил бы. Но не удалять.

    Добавлено спустя 3 минуты 56 секунд

    Tatsianka_M:

    Новый врач и новое мнение по 27 зубу ретроградный периодонтит

    А вот кармана там нет, что бы он был ретроградный.

    [censored, п.п. 3.3.4]
  • Неизвестный кот Neophyte Poster
    офлайн
    Неизвестный кот Neophyte Poster

    0


    пользователь #104601

    Профиль

    0
    # 29 октября 2016 18:36
    Vitas:

    Я бы лучше сам сделал ревизию. И кальций с йодоформом заложил бы. Но не удалять.

    Вот и я вижу такое же решение.

  • Неизвестный кот Senior Member
    офлайн
    Неизвестный кот Senior Member

    7659

    16 лет на сайте
    пользователь #180426

    Профиль

    7659
    # 29 октября 2016 18:54

    Ох, буду надеяться на терапию и хороший исход.
    Vitas, см. личку.

  • kkk1984 Senior Member
    офлайн
    kkk1984 Senior Member

    6183

    17 лет на сайте
    пользователь #143279

    Профиль
    Написать сообщение

    6183
    # 29 октября 2016 19:52 Редактировалось kkk1984, 1 раз.
    Vitas:

    то фото - это фото до реставрации (где зубы криво стоят), а следом шла работа.

    я про это и говорю, каким образом сделана эта работа? я конечно, слабых достоинств женщина, но неужто похожа на такую идиотку, которая принимает фото "до" за фото "после"?))))

    Добавлено спустя 40 секунд

    ilia5555:

    Виниры, ламинаты. Как не назовите.Пресс керамика .

    во, спасибо
    то есть коронок в том случае не было? И всяких там брекетов?
    Я тоже так хочу)

    Народ будет жить плохо. Но недолго