Посоветуйте, пожалуйста опытного стоматолога ортопеда с золотыми руками. Минск. Спасибо всем откликнувшимся!
Посоветуйте, пожалуйста опытного стоматолога ортопеда с золотыми руками. Минск. Спасибо всем откликнувшимся!
2486751:Посоветуйте, пожалуйста опытного стоматолога ортопеда с золотыми руками. Минск. Спасибо всем откликнувшимся!
Попробуйте сходить в [censored by Grace-o]. Уже не в первый раз у них лечу зубы, всё прекрасно, мне всё очень нравится!
Добрый день. Подскажите, пожалуйста, две-три клиники, где могут получше проконсультировать по ситуации с запущенным пародонтозом. Знаю 9-ую (Мороз Оксана Григорьевна).
|
офлайн
Alesia1984
Neophyte Poster
|
|
|
2 |
7 лет на сайте Город:
|
Здравствуйте,надеюсь здесь кто поможет.Проблема такая,с февраля месяца не могу поставить три единицы импланта.В своем городе все хваленые стоматологии обошла,отправили в Минск,там уже в четырех была и все бестолку. Для одного зуба не хватает кости,не в ширину ни в высоту. Собралась делать остеопластику, а итоге на операции стало плохо после укола анестезии. Стоматолог-хирург из Москвы предложил альтернативу не делая эту операцию,сказал что можно на удалить семерку,т к она подвижная и одномоментно поставить имплант,и рядом пятерка удалена пол года назад туда тоже имплант,а там просто оставить,как есть, т к не факт что кость при остеопластике приживется,ну чтобы не рисковать. Понятно что из Витебска в Москву не наездишься. Куда можно обратиться по такому вопросу?
все зависит от ваших желаний и возможностей
можно и наращивать можно и по рекомендации хирурга из москвы
но самый прогнозируемый результат самый дорогой, а сравнить у того дороже наращивание кости, а у этого дешевле не сравнишь.
потому как есть очень много разных методик и расходников к ним. а только по расходникам разница в наращивании кости в области одного зуба может разнится на 300 долларов
|
офлайн
SvetlanaZayats
Member
|
|
|
225 |
9 лет на сайте Город:
|
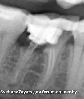
Добрый день!
Подскажите, на зуб на снимке возможно поставить коронку или только удаление?
SvetlanaZayats:Добрый день!
Подскажите, на зуб на снимке возможно поставить коронку или только удаление?
удалять с одномоментной имплантацией, что бы не пилить живые зубки.
|
офлайн
SvetlanaZayats
Member
|
|
|
225 |
9 лет на сайте Город:
|
Vitas:удалять с одномоментной имплантацией, что бы не пилить живые зубки.
где так делают, подскажите? и какой вариант лучше - озвученный Вами или сначала удалить, а потом, как все заживет, ставить имплант?
SvetlanaZayats:Vitas:удалять с одномоментной имплантацией, что бы не пилить живые зубки.
где так делают, подскажите? и какой вариант лучше - озвученный Вами или сначала удалить, а потом, как все заживет, ставить имплант?
конечно лучше сразу имплант.
а то можно попасть с таким зубом к хирургу, который кость посносит, а потом еще за нкр и все такое платить нужно будет.
(у нас можно)
|
офлайн
Dependable_IT
Member
|
|
|
421 |
8 лет на сайте Город:
|
Д вечер. Срочная ситуация. Может кто подскажет что и где срочно сделать платно.
Сегодня в 20,00 разломался здоровый не депульпированный 4й верхний зуб, вертикальныя трещина уходящая глубже десны. Наружная половина зуба неподвижна и безболезненна при нажатии. Внутренняя - подвижна и болезненна при нажатии. Те толи стенка внутренняя вся отломалась толи вместе с корнем на 2 половины разлом.
Те в 4м зубе 2 бугра, внутренний стал подвижен, отходит в сторону и болит при нажатии.

Если терпимо- завтра с утра в свою по месту жительства подойти к дежурному, он направит в хирургу, который эту половинку удалит и помотрит как глубоко сломалось и можно ли зуб спасти.
|
офлайн
Dependable_IT
Member
|
|
|
421 |
8 лет на сайте Город:
|
А если пополам разломался, в тч ниже десны - есть ли какие либо шансы чтото вроде коронки или обруча поставить, срастить ?
|
офлайн
Dependable_IT
Member
|
|
|
421 |
8 лет на сайте Город:
|
Здравствуйте, спасибо за предыдущие ответы.
Был у терапевта, вытянули щипцами отломившийся внутренний бугор верхнего 4 зуба. Терапевт сказала что нижняя граница отлома бугра примерно на 4 мм ниже уровня десны + обнажилась на 2 мм полость с нервом. Положили вещество для убивания нерва и закрыли временной пломбой. Зуб стал по форме похож на соседний 3 клык.
Какие в данном случае перспективы сохранить зуб ? И что лучше делать ?
Нижние зубы давили на внутренний отломившийся бугор этого зуба, а вот на внешний бугор после отлома внутреннего давления нет - все на что нижние зубы давили - отломалось. . Будет ли жизнеспособен наименее инвазивный вариант - после обработки каналов просто вместо внутреннего бугра закрыть фотополимером вровень с десной - те не восстанавливая отломившийся бугор , чтобы не было давления на этот зуб ? Те зуб N4 станет похож на рядом расположенный клык N3


|
офлайн
Dependable_IT
Member
|
|
|
421 |
8 лет на сайте Город:
|
Спасибо.
Нужно ли КТ чтобы точнее прояснить перспективы сохранения данного зуба ?
Сейчас в зуб заложена паста для убиения нерва и замазано цементом - этот цемент ухудшает картинку КТ?
КТ - можно делать с цементом или лучше после удаления цемента, чтобы качественнее была картинка ?
Пасту положили Вт 8,09 в 9,30 - сколько ее нужно держать чтобы убился нерв ?
Мне сказали до 14 дней , но вот ОТ скольки ?
|
офлайн
Dependable_IT
Member
|
|
|
421 |
8 лет на сайте Город:
|
Большое спасибо за ответы.
А вот если пойти все же по наименее инвазивному варианту -
с учетом что внутренний бугор 4го верхнего зуба откололся на глубину до 4 мм ниже уровня десны, как сказала терапевт. С обнажением канала с нервом.
Депульпировать, внутренний бугор не восстанавливать, просто закрыть дефект пломбой по уровню десны. Получится как бы второй клык с 1 наружным бугром.
Давления на него особо не будет, тк у меня нижние зубы давили только на отломившийся внутренний бугор, (попало твердое зерно и он отвалился, зуб был здоровый), а на наружный бугор давления нет. Будет ли это жить ????
Никто вам не даст гарантии, что такая реставрация и зуб будет жить, поэтому не выдумывайте и ставьте коронку. Больше сказать нечего.
|
офлайн
Dependable_IT
Member
|
|
|
421 |
8 лет на сайте Город:
|